深静脉血栓无创非增强精准影像检查的一体化临床解决方案(谢国喜团队)

发布时间:2022-08-31 浏览次数:

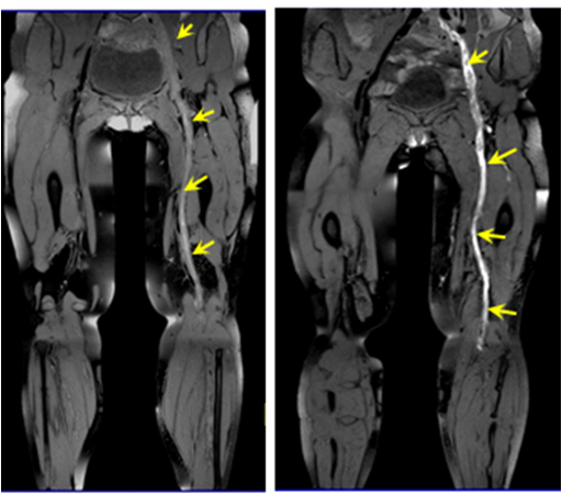
准确的血栓分期是实现深静脉血栓精准诊断的关键,而当前仅能根据发病时间来推断,其主观性强、准确性差,导致部分患者治疗效果不佳、疾病缠绵难愈。针对这一临床瓶颈问题,我们根据不同时期血栓中高铁血红蛋白含量不同的病理机制,从可覆盖整个下肢的相控阵线圈、成像序列和自动分析软件进行研发,实现深静脉血栓患者非增强快速成像检查,并实现血栓分布范围、血栓体积、血栓信号特征的自动判断和分析,为深静脉血栓无创非增强精准影像检查提供一体化临床解决方案。相关研究成果已申请发明专利3项、发表期刊论文10余篇,并已在北京朝阳医院、广州市番禺区中心医院、福建省立医院、清远市人民医院等10余家三甲医院进行临床测试和应用推广。

1. 本检查方案与传统静脉造影增强检查方法的成像结果比较,本方案不仅可以实现血栓分布的精准检查,还可以直接观测到血栓信号。

2. 不同时期血栓病人的成像结果比较,本项目提出的检查方案可以通过血栓的定量测量推出血栓的进展和分期,为临床精准化治疗提供依据

3. 本解决方案比已有方法相比可以实现血栓更精准的自动分割,实现血栓特性的自动定量和立体可视化分析


关闭 打印责任编辑:钟君